We use cookies to enhance the usability of our website. If you continue, we'll assume that you are happy to receive all cookies. More information. Don't show this again.
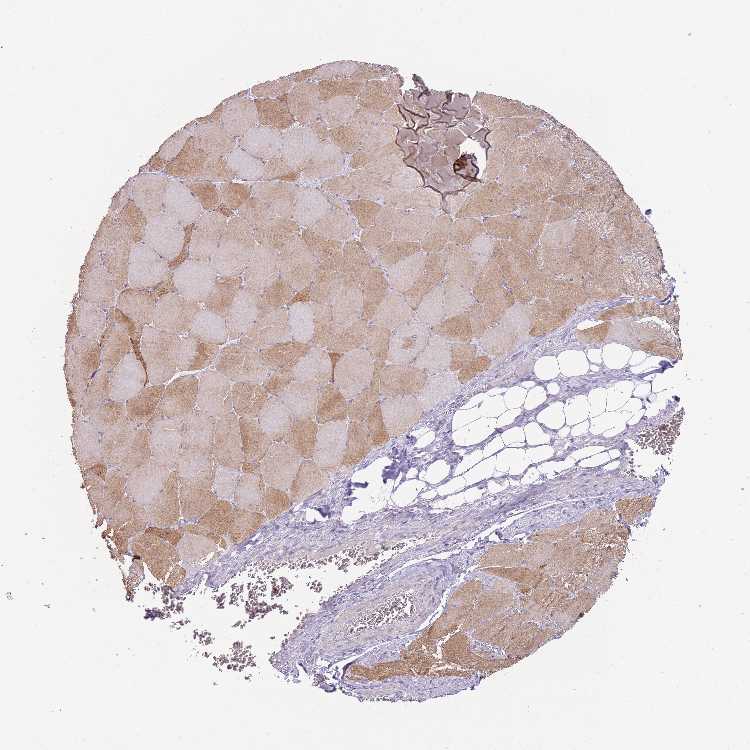
On the top, protein expression in current human tissue, based on all annotated cell types, is reported with the units not detected (n), low (l), medium (m) and high (h). Underneath, protein expression in each annotated cell type are reported using the same units.
Protein expression data is based on knowledge-based annotation. For genes where more than one antibody has been used, a collective score is set.
If knowledge-based annotation could not be performed for a gene, no data is displayed here. View antibody staining data further down this page.
A summary of mRNA expression data available for current tissue based on several datasets. The mRNA expression levels in human tissues are based on RNA-seq data generated by the Human Protein Atlas (HPA), Genotype-Tissue Expression (GTEx) portal and CAGE data generated by the FANTOM5 consortium. Consensus normalized expression (NX) levels for human tissues was created by combining the data from these three transcriptomics datasets (HPA, GTEx and FANTOM5).
The mRNA expression levels in pig are based on RNA-seq data generated by the Human Protein Atlas (HPA), and for mouse, HPA data and in situ hybridization generated by the Allen brain atlas are reported.
Scroll down to view mRNA expression data in more detail.
Antibody staining in the annotated cell types in the current human tissue is reported as not detected, low, medium, or high. This score is based on the staining intensity and fraction of stained cells.
The RNA-seq details section shows detailed information about the individual samples used for the transcript profiling and results of the RNA-seq analysis.
Information about each individual sample is listed below, including gender, age, a tissue section image and estimated fractions of cell types. pTPM (transcripts per million) values give a quantification of the gene abundance which is comparable between different genes and samples.
RNA-Seq data generated by the Genotype-Tissue Expression (GTEx) project from human tissues is reported as average pTPM. More information can be found on the GTEx portal.
Distribution across the dataset is visualized with box plots, shown as median and 25th and 75th percentiles. Points are displayed as outliers if they are above or below 1.5 times the interquartile range. pTPM values of the individual samples are presented next to the box plot.
Max pTPM: 23.8
Min pTPM: 0.0
Std pTPM: 1.1
Median pTPM: 0.0
GTEX-SE5C-1826-SM-2XCE4
40-49 years, female
23.8
GTEX-ZP4G-2026-SM-57WEH
20-29 years, female
14.2
GTEX-17HII-0426-SM-793A3
50-59 years, male
1.2
GTEX-1117F-0426-SM-5EGHI
60-69 years, female
0.9
GTEX-17F97-0526-SM-7DUF8
50-59 years, male
0.8
GTEX-13FTX-2026-SM-5L3D6
20-29 years, female
0.6
GTEX-16AAH-1826-SM-7939D
50-59 years, male
0.6
GTEX-1C2JI-2126-SM-793CG
50-59 years, male
0.6
GTEX-12ZZZ-0226-SM-59HKU
60-69 years, male
0.5
GTEX-18465-0326-SM-7LTAD
50-59 years, male
0.5
GTEX-11DXX-2726-SM-5PNXO
60-69 years, female
0.4
GTEX-1399Q-2426-SM-5J2MO
40-49 years, male
0.4
GTEX-13NYS-0326-SM-5MR4L
60-69 years, male
0.4
GTEX-14XAO-2226-SM-6LLHU
60-69 years, female
0.4
GTEX-18QFQ-0326-SM-731C3
30-39 years, male
0.4
GTEX-1A32A-0526-SM-731B9
50-59 years, female
0.4
GTEX-XMD2-0526-SM-4YCDI
60-69 years, female
0.4
GTEX-XV7Q-2926-SM-4BRUL
40-49 years, female
0.4
GTEX-YBZK-0326-SM-59HLN
50-59 years, female
0.4
GTEX-13FTY-0226-SM-5IJBW
40-49 years, female
0.3
GTEX-13QIC-1226-SM-5K7YR
60-69 years, female
0.3
GTEX-15DCD-0626-SM-7KUG7
70-79 years, female
0.3
GTEX-17HG3-2726-SM-7DHL5
30-39 years, female
0.3
GTEX-183FY-0226-SM-7LG54
20-29 years, male
0.3
GTEX-SNMC-1426-SM-2XCFM
20-29 years, male
0.3
GTEX-TSE9-0526-SM-3DB7Z
60-69 years, female
0.3
GTEX-WWTW-0626-SM-4MVNS
50-59 years, male
0.3
GTEX-Y5V5-2526-SM-4VBQ4
60-69 years, female
0.3
GTEX-ZQUD-1726-SM-51MRQ
30-39 years, male
0.3
GTEX-ZY6K-2026-SM-5GZXQ
50-59 years, male
0.3
GTEX-111CU-2026-SM-5GZZC
50-59 years, male
0.2
GTEX-111VG-2626-SM-5GZY2
60-69 years, male
0.2
GTEX-1128S-2426-SM-5H11B
60-69 years, female
0.2
GTEX-11EI6-0326-SM-5EQ6G
60-69 years, male
0.2
GTEX-11NSD-2026-SM-5HL5U
20-29 years, male
0.2
GTEX-11NUK-0226-SM-5A5L4
50-59 years, male
0.2
GTEX-12C56-1926-SM-5FQUG
20-29 years, male
0.2
GTEX-12WSG-2526-SM-5EQ4O
50-59 years, female
0.2
GTEX-12ZZX-0326-SM-5DUVH
40-49 years, female
0.2
GTEX-1399R-2526-SM-5IFG2
30-39 years, male
0.2
GTEX-139YR-2526-SM-5IJC6
50-59 years, male
0.2
GTEX-13D11-2526-SM-5KM28
50-59 years, female
0.2
GTEX-13O1R-0526-SM-5K7XU
60-69 years, male
0.2
GTEX-13OVL-1426-SM-5IJC1
50-59 years, male
0.2
GTEX-13OW8-1426-SM-5IJDT
60-69 years, male
0.2
GTEX-13PDP-0326-SM-5K7XP
60-69 years, male
0.2
GTEX-13VXT-0326-SM-5LU4U
20-29 years, female
0.2
GTEX-147F3-0226-SM-5NQBV
50-59 years, female
0.2
GTEX-15CHR-2426-SM-7DUFX
50-59 years, male
0.2
GTEX-15G19-0526-SM-6PAMT
60-69 years, male
0.2
GTEX-16MTA-2026-SM-7KUL3
50-59 years, male
0.2
GTEX-16NPX-0626-SM-7KULB
50-59 years, male
0.2
GTEX-16XZY-2226-SM-7938N
70-79 years, male
0.2
GTEX-17GQL-1926-SM-718B9
60-69 years, male
0.2
GTEX-17HHY-0326-SM-7938H
50-59 years, male
0.2
GTEX-183WM-0426-SM-731B1
70-79 years, female
0.2
GTEX-1B8KE-2226-SM-7939K
50-59 years, male
0.2
GTEX-1C6VQ-0326-SM-7DHMS
50-59 years, male
0.2
GTEX-OHPN-2726-SM-2I5H4
60-69 years, female
0.2
GTEX-OXRN-1326-SM-3LK5V
50-59 years, male
0.2
GTEX-QLQW-1326-SM-2S1QS
30-39 years, male
0.2
GTEX-R55G-2326-SM-2TC61
40-49 years, female
0.2
GTEX-SIU8-0526-SM-2XCDP
50-59 years, male
0.2
GTEX-V1D1-2426-SM-3GAER
50-59 years, male
0.2
GTEX-WFON-2326-SM-3LK7M
40-49 years, male
0.2
GTEX-WWYW-0526-SM-3NB2W
50-59 years, female
0.2
GTEX-WY7C-2526-SM-3NB2N
50-59 years, male
0.2
GTEX-X638-0326-SM-47JY1
70-79 years, female
0.2
GTEX-XUYS-0326-SM-47JX2
50-59 years, male
0.2
GTEX-Y3IK-2626-SM-4WWDK
50-59 years, female
0.2
GTEX-Y8E4-1026-SM-4VBQ5
40-49 years, male
0.2
GTEX-Z9EW-1726-SM-5CVMO
40-49 years, male
0.2
GTEX-ZC5H-0326-SM-5HL9F
40-49 years, female
0.2
GTEX-ZDTS-0526-SM-4WKH9
60-69 years, male
0.2
GTEX-ZDYS-1726-SM-5HL4Y
50-59 years, male
0.2
GTEX-ZE7O-0326-SM-51MTH
50-59 years, female
0.2
GTEX-ZF3C-0326-SM-4WWBF
50-59 years, female
0.2
GTEX-ZVZO-0326-SM-5HL4N
40-49 years, male
0.2
GTEX-ZZPT-0626-SM-5GZXT
50-59 years, male
0.2
GTEX-111YS-2326-SM-5987L
60-69 years, male
0.1
GTEX-113JC-2726-SM-5EGIS
50-59 years, female
0.1
GTEX-117XS-2526-SM-5H11G
60-69 years, male
0.1
GTEX-117YW-2426-SM-5Q5AE
50-59 years, male
0.1
GTEX-117YX-2526-SM-5EQ4Q
50-59 years, male
0.1
GTEX-11DXW-0726-SM-5H12J
40-49 years, male
0.1
GTEX-11DZ1-0926-SM-5EQ5R
50-59 years, male
0.1
GTEX-11EM3-2126-SM-5H11M
20-29 years, female
0.1
GTEX-11NV4-0326-SM-5HL58
60-69 years, male
0.1
GTEX-11O72-0326-SM-5986D
40-49 years, male
0.1
GTEX-11OF3-2526-SM-5P9JL
60-69 years, male
0.1
GTEX-11P82-1826-SM-5PNYJ
20-29 years, male
0.1
GTEX-11PRG-0326-SM-5GU53
50-59 years, male
0.1
GTEX-11TTK-0326-SM-5BC5N
60-69 years, female
0.1
GTEX-11UD1-0326-SM-5EQKX
40-49 years, female
0.1
GTEX-11WQC-2626-SM-5CVLF
60-69 years, male
0.1
GTEX-11XUK-2226-SM-5CVLL
40-49 years, female
0.1
GTEX-11ZTT-2626-SM-5EQKK
60-69 years, female
0.1
GTEX-11ZU8-2326-SM-5EQMJ
60-69 years, male
0.1
GTEX-1211K-2126-SM-59HJZ
60-69 years, female
0.1
GTEX-12126-0526-SM-5PNW4
20-29 years, male
0.1
GTEX-1269C-2626-SM-5EQ5C
60-69 years, female
0.1
GTEX-12WSA-0726-SM-5FQU2
60-69 years, male
0.1
GTEX-12WSD-0526-SM-5EQ6F
60-69 years, female
0.1
GTEX-12WSJ-1726-SM-5LZVV
40-49 years, female
0.1
GTEX-12WSL-2726-SM-5CVNL
50-59 years, male
0.1
GTEX-1313W-0526-SM-5P9FZ
50-59 years, female
0.1
GTEX-131XG-2326-SM-5HL8F
50-59 years, female
0.1
GTEX-133LE-2026-SM-5K7WM
20-29 years, female
0.1
GTEX-139T8-0526-SM-5KLZL
60-69 years, male
0.1
GTEX-139TU-0526-SM-5J2M8
60-69 years, male
0.1
GTEX-13FXS-0326-SM-5K7TV
50-59 years, male
0.1
GTEX-13JVG-0126-SM-5L3D3
60-69 years, male
0.1
GTEX-13N11-2726-SM-5L3ER
50-59 years, female
0.1
GTEX-13N1W-0526-SM-5MR4I
70-79 years, male
0.1
GTEX-13N2G-2326-SM-5J1ON
60-69 years, male
0.1
GTEX-13NYB-2726-SM-5J2MT
40-49 years, male
0.1
GTEX-13NZ9-0626-SM-5IJCO
50-59 years, male
0.1
GTEX-13OVI-1726-SM-5L3DW
60-69 years, female
0.1
GTEX-13OW5-0326-SM-5L3HK
60-69 years, male
0.1
GTEX-13QBU-2426-SM-5LU4L
40-49 years, female
0.1
GTEX-13RTK-1626-SM-5QGQS
20-29 years, male
0.1
GTEX-13S86-2326-SM-5RQK1
40-49 years, male
0.1
GTEX-13SLX-0326-SM-5Q5E4
50-59 years, female
0.1
GTEX-13U4I-1826-SM-5IJD2
40-49 years, female
0.1
GTEX-13VXU-0326-SM-5LU36
50-59 years, male
0.1
GTEX-13W46-0726-SM-5LU3Z
50-59 years, male
0.1
GTEX-1445S-0626-SM-5LU3C
60-69 years, male
0.1
GTEX-144FL-0326-SM-5O99O
50-59 years, male
0.1
GTEX-144GM-2026-SM-5LU3D
20-29 years, male
0.1
GTEX-144GN-2426-SM-5LU4R
50-59 years, male
0.1
GTEX-144GO-1326-SM-5Q5EL
60-69 years, male
0.1
GTEX-145LS-0526-SM-5LU8Y
60-69 years, female
0.1
GTEX-145MI-0326-SM-5Q5EV
60-69 years, female
0.1
GTEX-145MN-2426-SM-5NQA5
30-39 years, male
0.1
GTEX-146FQ-0326-SM-5NQAX
30-39 years, male
0.1
GTEX-1477Z-1626-SM-5SIA8
60-69 years, male
0.1
GTEX-147F4-0326-SM-5TDCK
50-59 years, male
0.1
GTEX-147GR-0126-SM-62LER
60-69 years, male
0.1
GTEX-147JS-0526-SM-5TDD3
60-69 years, male
0.1
GTEX-148VJ-0326-SM-5QGQE
70-79 years, male
0.1
GTEX-14A6H-5019-SM-793DH
30-39 years, male
0.1
GTEX-14AS3-2126-SM-5S2MK
40-49 years, female
0.1
GTEX-14BIM-0326-SM-5SI9B
60-69 years, female
0.1
GTEX-14C38-0426-SM-5TDDZ
50-59 years, male
0.1
GTEX-14DAQ-0326-SM-664MR
60-69 years, female
0.1
GTEX-14LZ3-0626-SM-5ZZWP
60-69 years, female
0.1
GTEX-14PII-0626-SM-69LPY
60-69 years, male
0.1
GTEX-14PQA-0526-SM-7KUFS
50-59 years, female
0.1
GTEX-15CHC-2426-SM-6EU22
60-69 years, female
0.1
GTEX-15D79-0526-SM-6ETZP
50-59 years, male
0.1
GTEX-15DZA-2026-SM-6PANE
30-39 years, female
0.1
GTEX-15ER7-0226-SM-7KUEU
20-29 years, female
0.1
GTEX-15ETS-0326-SM-6PANH
40-49 years, female
0.1
GTEX-15F5U-1826-SM-6LLJF
40-49 years, male
0.1
GTEX-15RIF-2126-SM-7KUM8
20-29 years, male
0.1
GTEX-15SHU-0626-SM-7KUFH
40-49 years, female
0.1
GTEX-16BQI-0326-SM-6PAM4
30-39 years, female
0.1
GTEX-16MT8-0326-SM-6PAM5
60-69 years, female
0.1
GTEX-16NGA-1926-SM-7LTA6
40-49 years, female
0.1
GTEX-16NPV-2426-SM-6M482
50-59 years, female
0.1
GTEX-16XZZ-0526-SM-7KUF1
60-69 years, male
0.1
GTEX-17F96-2726-SM-7LT9F
70-79 years, male
0.1
GTEX-17F98-1626-SM-7938R
40-49 years, female
0.1
GTEX-17KNJ-2426-SM-7DHLR
50-59 years, male
0.1
GTEX-18D9B-0426-SM-7LTAR
60-69 years, male
0.1
GTEX-18D9U-0626-SM-7LTA4
40-49 years, male
0.1
GTEX-1AMEY-1526-SM-73KYW
30-39 years, female
0.1
GTEX-1AMFI-2226-SM-731C6
50-59 years, female
0.1
GTEX-1AX9J-0126-SM-73KY2
60-69 years, male
0.1
GTEX-1B8L1-2726-SM-793AL
60-69 years, male
0.1
GTEX-1B8SF-0426-SM-79OL4
60-69 years, male
0.1
GTEX-1B933-0426-SM-7DHMC
50-59 years, female
0.1
GTEX-1B97I-2026-SM-7DHN2
40-49 years, male
0.1
GTEX-1B996-0326-SM-7DHMU
60-69 years, male
0.1
GTEX-1C4CL-0326-SM-7DHMH
30-39 years, male
0.1
GTEX-1C6VR-2526-SM-7DHMT
60-69 years, male
0.1
GTEX-1CB4E-2126-SM-793AP
60-69 years, male
0.1
GTEX-O5YV-2026-SM-2D7VS
60-69 years, female
0.1
GTEX-OHPL-1626-SM-2HMIR
60-69 years, female
0.1
GTEX-OOBK-1626-SM-2HMKG
40-49 years, male
0.1
GTEX-OXRK-1826-SM-2HMJE
50-59 years, female
0.1
GTEX-P4PP-1626-SM-2HMJF
30-39 years, female
0.1
GTEX-P4PQ-1626-SM-2HMKK
60-69 years, male
0.1
GTEX-P78B-1626-SM-5SI85
40-49 years, female
0.1
GTEX-PLZ6-1526-SM-2S1OC
30-39 years, male
0.1
GTEX-POMQ-1926-SM-3NB1Y
20-29 years, female
0.1
GTEX-POYW-0526-SM-2XCEY
60-69 years, male
0.1
GTEX-PX3G-1626-SM-2S1PT
20-29 years, female
0.1
GTEX-Q734-2026-SM-3GADA
40-49 years, female
0.1
GTEX-QDT8-0526-SM-3NMD8
30-39 years, female
0.1
GTEX-QESD-1626-SM-2S1RB
20-29 years, male
0.1
GTEX-S33H-2226-SM-5S2UF
30-39 years, male
0.1
GTEX-SJXC-0526-SM-2XCFG
60-69 years, male
0.1
GTEX-T2IS-2626-SM-32QPP
20-29 years, female
0.1
GTEX-T5JC-0626-SM-3NMA6
20-29 years, male
0.1
GTEX-TKQ1-1426-SM-4GICK
30-39 years, male
0.1
GTEX-U3ZN-2226-SM-3DB88
30-39 years, female
0.1
GTEX-U412-0326-SM-3DB9L
60-69 years, male
0.1
GTEX-U8XE-0726-SM-3DB8O
30-39 years, male
0.1
GTEX-W5WG-1926-SM-4KKZK
50-59 years, female
0.1
GTEX-WEY5-2026-SM-5SI8D
40-49 years, female
0.1
GTEX-WFG7-2226-SM-3GIKP
20-29 years, male
0.1
GTEX-WFG8-2426-SM-3GILL
20-29 years, male
0.1
GTEX-WHPG-2226-SM-3NMBO
50-59 years, male
0.1
GTEX-WHSE-0526-SM-5GZZD
20-29 years, male
0.1
GTEX-WL46-0626-SM-3LK7R
50-59 years, male
0.1
GTEX-WOFL-0626-SM-3MJG3
60-69 years, male
0.1
GTEX-WOFM-1326-SM-3MJFR
20-29 years, male
0.1
GTEX-WRHK-1626-SM-3MJFH
20-29 years, female
0.1
GTEX-X5EB-2326-SM-46MW5
40-49 years, male
0.1
GTEX-X88G-0326-SM-47JZ4
30-39 years, male
0.1
GTEX-XBEC-0626-SM-4QARY
50-59 years, male
0.1
GTEX-XBEW-1026-SM-4QARV
40-49 years, male
0.1
GTEX-XOT4-0526-SM-4B66O
60-69 years, female
0.1
GTEX-XPT6-2026-SM-4B64V
20-29 years, male
0.1
GTEX-XUZC-2126-SM-4BRW8
30-39 years, female
0.1
GTEX-XYKS-2426-SM-4AT43
60-69 years, female
0.1
GTEX-ZA64-2026-SM-5PNXT
20-29 years, male
0.1
GTEX-ZAB5-2126-SM-5K7UN
50-59 years, male
0.1
GTEX-ZAKK-0326-SM-5EGHA
70-79 years, male
0.1
GTEX-ZDXO-0326-SM-4WKHJ
60-69 years, male
0.1
GTEX-ZE9C-2326-SM-5J1NT
60-69 years, male
0.1
GTEX-ZF2S-2126-SM-4WWAY
50-59 years, female
0.1
GTEX-ZLV1-2126-SM-4WWD2
60-69 years, female
0.1
GTEX-ZPCL-2026-SM-57WFD
60-69 years, female
0.1
GTEX-ZQG8-1226-SM-51MRX
60-69 years, female
0.1
GTEX-ZT9X-1826-SM-57WDU
40-49 years, male
0.1
GTEX-ZUA1-0326-SM-5NQA3
40-49 years, male
0.1
GTEX-ZVP2-2126-SM-5GU6E
50-59 years, male
0.1
GTEX-ZVT3-0526-SM-5GIE9
60-69 years, female
0.1
GTEX-ZVT4-0326-SM-51MS5
50-59 years, female
0.1
GTEX-ZXG5-0326-SM-5GICH
60-69 years, male
0.1
GTEX-ZYFG-2426-SM-5GIE8
60-69 years, female
0.1
GTEX-ZYW4-0526-SM-5GZZ5
60-69 years, male
0.1
GTEX-ZZ64-1526-SM-5E43K
20-29 years, male
0.1
GTEX-111FC-0326-SM-5GZZ1
60-69 years, male
0.0
GTEX-1122O-2426-SM-5GIDN
60-69 years, female
0.0
GTEX-1192X-0426-SM-5GIEE
50-59 years, male
0.0
GTEX-11DXY-2726-SM-5GID2
60-69 years, male
0.0
GTEX-11DXZ-2426-SM-5N9DT
50-59 years, male
0.0
GTEX-11EMC-2626-SM-59864
60-69 years, female
0.0
GTEX-11EQ8-0526-SM-5N9BC
60-69 years, male
0.0
GTEX-11EQ9-2126-SM-5PNVW
30-39 years, male
0.0
GTEX-11GS4-2526-SM-5A5KT
60-69 years, male
0.0
GTEX-11GSO-2526-SM-5PNVX
60-69 years, male
0.0
GTEX-11GSP-2726-SM-5A5LJ
60-69 years, female
0.0
GTEX-11H98-0326-SM-5HL4S
50-59 years, male
0.0
GTEX-11I78-2426-SM-5A5K9
50-59 years, female
0.0
GTEX-11LCK-1226-SM-5Q5AM
30-39 years, male
0.0
GTEX-11OC5-0326-SM-5PNW5
60-69 years, male
0.0
GTEX-11ONC-2426-SM-5GU7H
60-69 years, male
0.0
GTEX-11P7K-1926-SM-5GU6R
30-39 years, male
0.0
GTEX-11P81-2526-SM-5GU6H
30-39 years, female
0.0
GTEX-11TT1-2326-SM-5GU6N
20-29 years, male
0.0
GTEX-11TUW-2526-SM-5EQKN
60-69 years, male
0.0
GTEX-11UD2-0326-SM-5EQLE
50-59 years, male
0.0
GTEX-11VI4-1926-SM-5CVLI
40-49 years, female
0.0
GTEX-11WQK-0726-SM-5GU71
50-59 years, male
0.0
GTEX-11ZTS-0526-SM-5CVL9
60-69 years, female
0.0
GTEX-11ZUS-1426-SM-5FQSP
30-39 years, male
0.0
GTEX-11ZVC-2726-SM-5FQSZ
50-59 years, female
0.0
GTEX-1212Z-2626-SM-5YY8P
60-69 years, male
0.0
GTEX-12584-0526-SM-5FQTS
40-49 years, male
0.0
GTEX-12696-2826-SM-5FQTY
60-69 years, male
0.0
GTEX-12BJ1-2526-SM-5FQUE
60-69 years, male
0.0
GTEX-12KS4-0826-SM-5BC5R
30-39 years, male
0.0
GTEX-12WSC-0326-SM-5EQ5E
50-59 years, male
0.0
GTEX-12WSF-0926-SM-6PALU
70-79 years, male
0.0
GTEX-12WSH-2526-SM-5CVNH
50-59 years, male
0.0
GTEX-12WSM-0326-SM-5LZVI
60-69 years, male
0.0
GTEX-12WSN-2526-SM-5LZU8
40-49 years, male
0.0
GTEX-12ZZY-0626-SM-5EQ5T
60-69 years, male
0.0
GTEX-13111-2226-SM-5LZUE
50-59 years, male
0.0
GTEX-13112-2626-SM-5BC66
50-59 years, male
0.0
GTEX-13113-5019-SM-7EPH2
60-69 years, female
0.0
GTEX-1314G-1726-SM-5LZUX
30-39 years, male
0.0
GTEX-131XE-2726-SM-5P9G7
50-59 years, male
0.0
GTEX-131XF-2326-SM-5BC6B
60-69 years, male
0.0
GTEX-131XH-2726-SM-5GCO2
50-59 years, male
0.0
GTEX-131XW-0326-SM-5KM1J
50-59 years, female
0.0
GTEX-131YS-0526-SM-5EGKJ
60-69 years, female
0.0
GTEX-132AR-1026-SM-5PNVL
50-59 years, female
0.0
GTEX-132NY-0726-SM-5KLZM
60-69 years, male
0.0
GTEX-132Q8-0626-SM-5L3F3
60-69 years, male
0.0
GTEX-1339X-2426-SM-5KLYU
40-49 years, male
0.0
GTEX-1399S-2726-SM-5KM22
30-39 years, female
0.0
GTEX-1399T-2426-SM-5L3FJ
60-69 years, male
0.0
GTEX-1399U-2526-SM-5L3DL
50-59 years, female
0.0
GTEX-139D8-0726-SM-5P9GJ
30-39 years, female
0.0
GTEX-139T4-0326-SM-5K7XN
50-59 years, female
0.0
GTEX-139T6-2026-SM-5IFFL
50-59 years, male
0.0
GTEX-139TS-2626-SM-5J1MT
60-69 years, male
0.0
GTEX-139TT-0426-SM-5IJFA
60-69 years, male
0.0
GTEX-139UW-2626-SM-5K7W1
60-69 years, male
0.0
GTEX-13CF2-2726-SM-5LZWW
60-69 years, male
0.0
GTEX-13CF3-1826-SM-5J1NK
60-69 years, female
0.0
GTEX-13FH7-2126-SM-5L3DJ
50-59 years, female
0.0
GTEX-13FHO-0726-SM-5IJDG
60-69 years, male
0.0
GTEX-13FHP-0526-SM-5K7UY
50-59 years, male
0.0
GTEX-13FTW-2326-SM-5K7YS
40-49 years, male
0.0
GTEX-13FTZ-2226-SM-5LZXI
60-69 years, male
0.0
GTEX-13G51-2726-SM-5LZZ9
60-69 years, male
0.0
GTEX-13IVO-0626-SM-5LZYJ
70-79 years, male
0.0
GTEX-13JUV-2326-SM-5IJCE
40-49 years, female
0.0
GTEX-13NYC-0726-SM-5J2NQ
60-69 years, male
0.0
GTEX-13NZ8-2126-SM-5L3EO
60-69 years, female
0.0
GTEX-13NZA-0526-SM-5L3D7
60-69 years, male
0.0
GTEX-13NZB-2626-SM-5J2M7
30-39 years, male
0.0
GTEX-13O21-1726-SM-5MR5A
50-59 years, male
0.0
GTEX-13O3O-0526-SM-5J1NL
60-69 years, female
0.0
GTEX-13O3P-0626-SM-5L3D5
50-59 years, male
0.0
GTEX-13O3Q-2726-SM-5KM51
50-59 years, male
0.0
GTEX-13O61-2326-SM-5J1NJ
60-69 years, male
0.0
GTEX-13OVG-2126-SM-5KM1K
60-69 years, male
0.0
GTEX-13OVH-0626-SM-5L3EI
70-79 years, male
0.0
GTEX-13OVJ-0226-SM-5L3GK
50-59 years, female
0.0
GTEX-13OVK-1926-SM-6M48G
40-49 years, male
0.0
GTEX-13OW6-0626-SM-5L3IB
50-59 years, male
0.0
GTEX-13OW7-0326-SM-5J1MP
50-59 years, male
0.0
GTEX-13PL6-0326-SM-5IJCP
40-49 years, female
0.0
GTEX-13PL7-0626-SM-5IJCD
60-69 years, female
0.0
GTEX-13PLJ-0326-SM-5L3I7
60-69 years, female
0.0
GTEX-13PVQ-0326-SM-5K7YF
50-59 years, male
0.0
GTEX-13PVR-2526-SM-5RQIT
60-69 years, female
0.0
GTEX-13QJ3-0726-SM-5SI68
50-59 years, male
0.0
GTEX-13RTJ-2726-SM-73KVG
60-69 years, male
0.0
GTEX-13RTL-0326-SM-7LT89
40-49 years, male
0.0
GTEX-13SLW-0326-SM-5RQK5
70-79 years, male
0.0
GTEX-13W3W-2626-SM-5SIA2
60-69 years, female
0.0
GTEX-13X6H-2326-SM-7EWEB
50-59 years, female
0.0
GTEX-13X6I-0526-SM-5QGP8
60-69 years, male
0.0
GTEX-13X6J-0326-SM-7EPGD
50-59 years, male
0.0
GTEX-13X6K-0326-SM-5Q5D6
60-69 years, female
0.0
GTEX-13YAN-0526-SM-5O9BE
60-69 years, male
0.0
GTEX-144GL-0326-SM-5QGOY
50-59 years, male
0.0
GTEX-145LT-1626-SM-5O992
40-49 years, male
0.0
GTEX-145LU-2026-SM-5Q5E8
50-59 years, male
0.0
GTEX-145LV-2326-SM-5LU8Z
50-59 years, male
0.0
GTEX-145ME-2026-SM-5SIA5
40-49 years, female
0.0
GTEX-145MG-0226-SM-5TDDB
50-59 years, male
0.0
GTEX-145MH-0326-SM-5LU8H
50-59 years, male
0.0
GTEX-145MO-0726-SM-5NQB9
60-69 years, male
0.0
GTEX-146FH-0526-SM-5QGQ3
50-59 years, female
0.0
GTEX-146FR-1726-SM-5Q5DT
60-69 years, female
0.0
GTEX-14753-0526-SM-5QGPR
60-69 years, male
0.0
GTEX-1497J-2626-SM-5SI9K
60-69 years, male
0.0
GTEX-14A5H-0326-SM-5RQIB
60-69 years, male
0.0
GTEX-14A5I-0326-SM-5NQ9J
50-59 years, female
0.0
GTEX-14ABY-0126-SM-62LDI
50-59 years, male
0.0
GTEX-14ASI-0526-SM-5QGQP
60-69 years, male
0.0
GTEX-14BIL-0326-SM-5SI9Q
50-59 years, male
0.0
GTEX-14BMU-2026-SM-5S2W6
20-29 years, female
0.0
GTEX-14BMV-0326-SM-5RQHW
50-59 years, male
0.0
GTEX-14C39-2426-SM-5S2U5
40-49 years, male
0.0
GTEX-14C5O-0626-SM-664N2
60-69 years, male
0.0
GTEX-14DAR-1826-SM-664N1
50-59 years, male
0.0
GTEX-14E1K-2326-SM-664MP
50-59 years, male
0.0
GTEX-14E6C-1526-SM-664ND
40-49 years, male
0.0
GTEX-14E6D-0326-SM-62LDX
50-59 years, male
0.0
GTEX-14E6E-2026-SM-664N5
30-39 years, male
0.0
GTEX-14H4A-0926-SM-5ZZUU
40-49 years, female
0.0
GTEX-14ICL-1926-SM-5RQIZ
30-39 years, male
0.0
GTEX-14JG1-0126-SM-5ZZUP
40-49 years, male
0.0
GTEX-14JG6-2126-SM-6EU2F
30-39 years, female
0.0
GTEX-14JIY-0426-SM-62LF7
60-69 years, male
0.0
GTEX-14LLW-0526-SM-62LFB
70-79 years, female
0.0
GTEX-14PJ2-0326-SM-6EU2Q
50-59 years, male
0.0
GTEX-14PJ3-2026-SM-5ZZVK
50-59 years, male
0.0
GTEX-14PJ4-2426-SM-6EU1U
60-69 years, male
0.0
GTEX-14PJ5-2026-SM-6LLIN
60-69 years, female
0.0
GTEX-14PJ6-2326-SM-6ETZR
60-69 years, female
0.0
GTEX-14PJM-0426-SM-5ZZVN
50-59 years, female
0.0
GTEX-14PJN-2126-SM-6AJBM
30-39 years, male
0.0
GTEX-14PJO-0526-SM-6EU2O
60-69 years, male
0.0
GTEX-14PK6-2126-SM-6ETZV
70-79 years, female
0.0
GTEX-14PN4-0326-SM-6EU2N
50-59 years, male
0.0
GTEX-15CHQ-0726-SM-6EU18
60-69 years, male
0.0
GTEX-15DCZ-0526-SM-686Z3
20-29 years, female
0.0
GTEX-15DDE-0526-SM-6ETZQ
50-59 years, female
0.0
GTEX-15EO6-2826-SM-6PANB
50-59 years, male
0.0
GTEX-15G1A-2026-SM-7KUFG
30-39 years, male
0.0
GTEX-15RIE-2426-SM-7KUDS
60-69 years, male
0.0
GTEX-15RIG-0426-SM-7KUF4
40-49 years, male
0.0
GTEX-15RJ7-2426-SM-6M48L
40-49 years, male
0.0
GTEX-15SB6-1826-SM-6PALN
50-59 years, female
0.0
GTEX-15SDE-2326-SM-6PAL4
50-59 years, female
0.0
GTEX-15SHV-2526-SM-6PAMG
60-69 years, male
0.0
GTEX-15SHW-0726-SM-7KUEI
60-69 years, male
0.0
GTEX-15SKB-2526-SM-6PALP
60-69 years, male
0.0
GTEX-15UF6-1026-SM-7KUF7
70-79 years, female
0.0
GTEX-15UF7-2226-SM-6PAMQ
40-49 years, male
0.0
GTEX-15UKP-0326-SM-7KUFP
20-29 years, male
0.0
GTEX-16GPK-0526-SM-7KUER
60-69 years, male
0.0
GTEX-16YQH-0426-SM-7KUL7
30-39 years, male
0.0
GTEX-16Z82-0126-SM-7DHLF
60-69 years, male
0.0
GTEX-17EUY-0626-SM-793BE
20-29 years, male
0.0
GTEX-17EVP-1326-SM-7DHMR
40-49 years, male
0.0
GTEX-17EVQ-1226-SM-7LG59
70-79 years, male
0.0
GTEX-17F9E-0226-SM-79OKK
50-59 years, male
0.0
GTEX-17HGU-0626-SM-7939Y
50-59 years, male
0.0
GTEX-17HHE-2126-SM-7DHLO
50-59 years, male
0.0
GTEX-17JCI-0326-SM-7LG5H
60-69 years, female
0.0
GTEX-17MF6-2026-SM-7LG5I
40-49 years, male
0.0
GTEX-17MFQ-1926-SM-793A6
20-29 years, male
0.0
GTEX-18A66-0126-SM-731CQ
60-69 years, male
0.0
GTEX-18A67-0326-SM-7LG5X
50-59 years, male
0.0
GTEX-18A6Q-0326-SM-718AT
60-69 years, male
0.0
GTEX-18A7A-0626-SM-718BJ
50-59 years, female
0.0
GTEX-18A7B-0326-SM-7LG65
70-79 years, male
0.0
GTEX-18D9A-1826-SM-718BK
30-39 years, female
0.0
GTEX-1A3MV-2026-SM-718BU
30-39 years, male
0.0
GTEX-1A3MW-0526-SM-731BY
60-69 years, female
0.0
GTEX-1A3MX-0526-SM-718A9
60-69 years, male
0.0
GTEX-1A8G6-0126-SM-7DUFY
60-69 years, male
0.0
GTEX-1A8G7-0326-SM-72D5B
60-69 years, male
0.0
GTEX-1AX8Z-0326-SM-731BU
60-69 years, male
0.0
GTEX-1AX9I-0326-SM-73KXQ
60-69 years, male
0.0
GTEX-1AX9K-2726-SM-7DHMA
50-59 years, male
0.0
GTEX-1AYD5-2226-SM-73KX3
50-59 years, male
0.0
GTEX-1B8KZ-2126-SM-73KYG
50-59 years, male
0.0
GTEX-1B8SG-0326-SM-73KXW
50-59 years, male
0.0
GTEX-1B932-0526-SM-73KU7
40-49 years, female
0.0
GTEX-1BAJH-0126-SM-7DHMF
70-79 years, male
0.0
GTEX-1C475-1726-SM-73KVX
40-49 years, female
0.0
GTEX-1C64O-0326-SM-73KVW
60-69 years, male
0.0
GTEX-1C6WA-0326-SM-7DUGE
60-69 years, male
0.0
GTEX-1CAMR-1726-SM-793CU
20-29 years, male
0.0
GTEX-1CAMS-0126-SM-79396
40-49 years, female
0.0
GTEX-1CB4I-0326-SM-7DHMM
50-59 years, male
0.0
GTEX-1E1VI-0426-SM-7DHN1
50-59 years, male
0.0
GTEX-N7MS-0426-SM-2YUN6
60-69 years, male
0.0
GTEX-NFK9-0626-SM-2HMIV
40-49 years, male
0.0
GTEX-O5YT-1626-SM-32PK6
20-29 years, male
0.0
GTEX-OHPK-1626-SM-2YUN3
50-59 years, female
0.0
GTEX-OIZG-1326-SM-2HMIQ
50-59 years, male
0.0
GTEX-OIZH-1626-SM-2HMKI
50-59 years, male
0.0
GTEX-OIZI-0626-SM-2XCEH
40-49 years, male
0.0
GTEX-OOBJ-1626-SM-2I3F7
60-69 years, male
0.0
GTEX-OXRL-1626-SM-2YUMU
50-59 years, male
0.0
GTEX-OXRP-2326-SM-2S1NL
60-69 years, female
0.0
GTEX-P44H-0426-SM-2XCEZ
40-49 years, male
0.0
GTEX-P4QS-1626-SM-2S1NH
60-69 years, male
0.0
GTEX-P4QT-1626-SM-5S2UR
50-59 years, female
0.0
GTEX-PLZ4-0926-SM-2S1OI
50-59 years, female
0.0
GTEX-PLZ5-1726-SM-2I5F6
50-59 years, male
0.0
GTEX-PSDG-0426-SM-5SI86
50-59 years, male
0.0
GTEX-PW2O-1726-SM-2S1OO
20-29 years, male
0.0
GTEX-PWCY-2026-SM-5SI8R
20-29 years, female
0.0
GTEX-PWN1-1626-SM-2S1OL
40-49 years, female
0.0
GTEX-Q2AG-0426-SM-2S1PU
40-49 years, female
0.0
GTEX-Q2AH-1826-SM-2S1Q2
40-49 years, male
0.0
GTEX-Q2AI-1526-SM-3GIJ3
40-49 years, male
0.0
GTEX-QCQG-2126-SM-2S1P8
50-59 years, female
0.0
GTEX-QDVJ-1926-SM-2S1PJ
50-59 years, male
0.0
GTEX-QDVN-2426-SM-2S1Q4
50-59 years, male
0.0
GTEX-QEG4-0626-SM-2S1OY
30-39 years, male
0.0
GTEX-QEG5-0426-SM-2I5GJ
20-29 years, male
0.0
GTEX-QEL4-0626-SM-3GIJM
50-59 years, male
0.0
GTEX-QLQ7-1726-SM-2S1QQ
60-69 years, male
0.0
GTEX-QV31-1426-SM-2S1QD
30-39 years, male
0.0
GTEX-QV44-2026-SM-2S1RD
50-59 years, male
0.0
GTEX-QVJO-0126-SM-3GIK4
60-69 years, female
0.0
GTEX-QVUS-0226-SM-3GIJY
60-69 years, female
0.0
GTEX-QXCU-1726-SM-2TC6L
50-59 years, male
0.0
GTEX-R3RS-0526-SM-3GADG
40-49 years, female
0.0
GTEX-R53T-1826-SM-3GIJX
50-59 years, female
0.0
GTEX-R55C-1726-SM-3GADJ
40-49 years, male
0.0
GTEX-R55D-0626-SM-3GAD5
50-59 years, male
0.0
GTEX-R55E-0526-SM-2TC6B
20-29 years, male
0.0
GTEX-REY6-0826-SM-2TF4S
60-69 years, male
0.0
GTEX-RM2N-1626-SM-2TF5N
50-59 years, male
0.0
GTEX-RN64-0326-SM-2TC5J
50-59 years, male
0.0
GTEX-RNOR-0526-SM-2TF4O
50-59 years, female
0.0
GTEX-RTLS-0526-SM-2TF64
60-69 years, female
0.0
GTEX-RU1J-1726-SM-2TF5S
20-29 years, female
0.0
GTEX-RU72-1326-SM-2TF6T
50-59 years, female
0.0
GTEX-RWS6-2126-SM-2XCAV
60-69 years, female
0.0
GTEX-RWSA-0726-SM-2XCBE
40-49 years, male
0.0
GTEX-S32W-2326-SM-2XCAW
50-59 years, female
0.0
GTEX-S7PM-0526-SM-3NM92
60-69 years, male
0.0
GTEX-S95S-1426-SM-2XCDM
60-69 years, male
0.0
GTEX-SN8G-0326-SM-32PLG
50-59 years, female
0.0
GTEX-SNOS-1526-SM-32PLW
40-49 years, male
0.0
GTEX-SSA3-0326-SM-32QPS
60-69 years, male
0.0
GTEX-T5JW-1826-SM-3GAE1
20-29 years, female
0.0
GTEX-T6MN-0526-SM-32PMS
50-59 years, male
0.0
GTEX-T8EM-1326-SM-3DB7G
40-49 years, male
0.0
GTEX-TKQ2-0826-SM-33HB6
50-59 years, male
0.0
GTEX-TML8-1826-SM-32QOR
40-49 years, female
0.0
GTEX-TMMY-0426-SM-33HBB
40-49 years, female
0.0
GTEX-TMZS-0326-SM-3DB9P
60-69 years, male
0.0
GTEX-U3ZG-0326-SM-47JXN
50-59 years, male
0.0
GTEX-U3ZH-1926-SM-4DXTR
30-39 years, male
0.0
GTEX-U3ZM-1226-SM-3DB9G
40-49 years, male
0.0
GTEX-U4B1-1626-SM-3DB8N
40-49 years, male
0.0
GTEX-U8T8-1426-SM-3DB9H
60-69 years, male
0.0
GTEX-UJHI-1726-SM-3DB9B
50-59 years, female
0.0
GTEX-UJMC-1826-SM-3GADT
50-59 years, male
0.0
GTEX-UPJH-0526-SM-4IHK8
50-59 years, male
0.0
GTEX-UTHO-0726-SM-3GAEN
60-69 years, male
0.0
GTEX-V955-2426-SM-3GAEF
60-69 years, male
0.0
GTEX-VJWN-0426-SM-3GIJI
50-59 years, female
0.0
GTEX-VJYA-1926-SM-3GIJJ
60-69 years, male
0.0
GTEX-VUSG-2626-SM-4KKZI
50-59 years, male
0.0
GTEX-WHSB-1826-SM-3TW8M
50-59 years, male
0.0
GTEX-WK11-2526-SM-3NM9Y
50-59 years, male
0.0
GTEX-WRHU-0826-SM-3MJFN
50-59 years, female
0.0
GTEX-WXYG-2526-SM-3NB3F
50-59 years, female
0.0
GTEX-WYJK-1726-SM-3NM9U
50-59 years, male
0.0
GTEX-WYVS-2326-SM-3NMAI
40-49 years, female
0.0
GTEX-WZTO-0826-SM-3NM8Q
40-49 years, male
0.0
GTEX-X261-0326-SM-3NMD4
50-59 years, male
0.0
GTEX-X4EO-0526-SM-3P5Z3
60-69 years, female
0.0
GTEX-X4XX-0626-SM-3NMC1
60-69 years, male
0.0
GTEX-X4XY-0626-SM-4E3IN
60-69 years, male
0.0
GTEX-X8HC-0526-SM-4E3JA
50-59 years, female
0.0
GTEX-XAJ8-1026-SM-47JY9
40-49 years, male
0.0
GTEX-XBED-2626-SM-4E3J5
60-69 years, male
0.0
GTEX-XGQ4-2326-SM-4AT53
50-59 years, male
0.0
GTEX-XPVG-2526-SM-4B66D
50-59 years, male
0.0
GTEX-XQ3S-0426-SM-4BOOA
20-29 years, male
0.0
GTEX-XQ8I-0626-SM-4BOPT
50-59 years, male
0.0
GTEX-XUW1-0826-SM-4BOP6
50-59 years, female
0.0
GTEX-Y111-0326-SM-4SOIX
50-59 years, male
0.0
GTEX-Y114-2526-SM-4TT8M
50-59 years, female
0.0
GTEX-Y3I4-2326-SM-4TT81
50-59 years, male
0.0
GTEX-Y5LM-2126-SM-4VDSY
40-49 years, female
0.0
GTEX-Y5V6-2626-SM-5IFIX
60-69 years, male
0.0
GTEX-Y8DK-0326-SM-4TT3P
60-69 years, male
0.0
GTEX-Y8E5-0326-SM-57WBM
60-69 years, male
0.0
GTEX-Y8LW-2026-SM-4V6G8
50-59 years, female
0.0
GTEX-Y9LG-1926-SM-5IFHY
30-39 years, male
0.0
GTEX-YB5E-2226-SM-5IFJ5
40-49 years, male
0.0
GTEX-YB5K-2326-SM-5IFHD
40-49 years, female
0.0
GTEX-YEC3-2126-SM-4YCDB
50-59 years, male
0.0
GTEX-YEC4-2226-SM-5IFJT
40-49 years, male
0.0
GTEX-YECK-0626-SM-4W1ZE
60-69 years, male
0.0
GTEX-YF7O-2526-SM-5IFJX
50-59 years, male
0.0
GTEX-YFC4-1026-SM-5RQJM
40-49 years, female
0.0
GTEX-YFCO-1926-SM-4W212
40-49 years, male
0.0
GTEX-YJ8O-2826-SM-5CVM4
40-49 years, female
0.0
GTEX-Z93S-1326-SM-5CVMR
50-59 years, male
0.0
GTEX-ZAB4-0426-SM-5HL7N
40-49 years, male
0.0
GTEX-ZAJG-0526-SM-5S2MT
50-59 years, female
0.0
GTEX-ZAK1-0526-SM-5K7X4
50-59 years, female
0.0
GTEX-ZF28-0526-SM-4WKGW
60-69 years, male
0.0
GTEX-ZPIC-2526-SM-57WDP
40-49 years, female
0.0
GTEX-ZTPG-0126-SM-5O9AL
20-29 years, female
0.0
GTEX-ZTX8-1626-SM-51MRY
20-29 years, male
0.0
GTEX-ZV68-0526-SM-59HKI
50-59 years, female
0.0
GTEX-ZV6S-2126-SM-4YCEM
40-49 years, female
0.0
GTEX-ZV7C-2426-SM-5NQ7Q
50-59 years, male
0.0
GTEX-ZVE1-0526-SM-5NQ71
50-59 years, female
0.0
GTEX-ZVE2-0626-SM-5GU7I
50-59 years, male
0.0
GTEX-ZVT2-2426-SM-57WCQ
50-59 years, female
0.0
GTEX-ZVTK-0626-SM-5GU6Y
20-29 years, male
0.0
GTEX-ZVZP-2526-SM-57WBR
50-59 years, male
0.0
GTEX-ZWKS-0326-SM-5NQ7G
30-39 years, male
0.0
GTEX-ZYFC-0526-SM-5GIDF
50-59 years, male
0.0
GTEX-ZYFD-0326-SM-5NQ8I
50-59 years, male
0.0
GTEX-ZYT6-1626-SM-5E45R
30-39 years, male
0.0
GTEX-ZYVF-0626-SM-5E43Q
50-59 years, female
0.0
GTEX-ZYY3-0526-SM-5E45G
60-69 years, female
0.0
GTEX-ZZPU-2626-SM-5E45Y
50-59 years, female
0.0
Show allShow less
SKELETAL MUSCLE - FANTOM5 CAGEi
RNA expression in human tissues obtained through Cap Analysis of Gene Expression (CAGE) generated by the FANTOM5 project are reported as Scaled Tags Per Million.